
7000+ internationale Patienten behandelt
CEREC 3D Scan + In-House-Labor – Deutsche & Schweizer Materialien.





Spitzenqualität zu fairen Preisen, ohne Kompromisse
Bis zu 70% günstiger als in Deutschland – mit gleichen Premiummarken wie Straumann, Amann Girrbach und Dentsply Sirona.
Eigenes CEREC-Labor und Vor-Ort-Fertigung. Keine Wartezeiten, keine provisorischen Lösungen.
Über 7000 behandelte Patienten aus Deutschland, Österreich und der Schweiz. Wir verstehen Ihre Erwartungen.
Hurghada bietet traumhafte Strände und Sonne. Verbinden Sie Ihre Zahnbehandlung mit Entspannung am Roten Meer.
Mit unserer CEREC-Technologie und eigenem Labor fertigen wir Ihre Veneers in nur 4–6 Stunden – komplett vor Ort. Keine Kompromisse, keine Wartezeit.
Modernste Technologie, höchste Materialqualität
Hauchdünne Keramikschalen für Ihr Traumlächeln – gefertigt und eingesetzt am selben Tag.
Hochwertige Vollkeramik-Versorgung mit präzisem 3D-Scan und hauseigener Fertigung.
Premium Schweizer Implantate mit lebenslanger Herstellergarantie und Sofortversorgung.
Minimalinvasive Keramikfüllungen für langlebigen Zahnerhalt.
Schonende Entfernung von Belägen und Verfärbungen für gesundes Zahnfleisch.
Professionelle Zahnaufhellung für ein strahlendes, natürliches Weiß.
Moderne Endodontie zur Rettung Ihres natürlichen Zahnes.
Feste Zähne an einem Tag auf nur 4 oder 6 Implantaten – die Revolution der Vollversorgung.
Alle Preise in Euro, basierend auf unseren Festpreisen in ägyptischen Pfund. Durch Wechselkursschwankungen können leichte Abweichungen entstehen.
Unverbindliche Richtwerte – Sie erhalten vor Ort einen schriftlichen, transparenten Kostenplan.
Berechnen Sie unverbindlich, wie viel Sie im Vergleich zu typischen Zahnkosten in Deutschland, Österreich und der Schweiz sparen können.
| Position | Dental Home Hurghada | Deutschland / D-A-CH (Richtwert) |
|---|---|---|
| 1x Implantate | 460 € | 1.600 € |
| 1x Kronen (Deutsches Zirkon) | 160 € | 860 € |
| Summe | 620 € | 2.460 € |
| Sie sparen | 1.840 € | – |
Unverbindliches Kostenbeispiel. Die tatsächlichen Kosten sowie die daraus resultierende Ersparnis können erst nach Untersuchung und Behandlungsplanung in der Zahnklinik Dental Home – Dr. Ahmed Zarzor in Hurghada, Ägypten, genau bestimmt werden. Alle Angaben dienen ausschließlich Informationszwecken und stellen kein Angebot und keine Zusage gegenüber Krankenkassen dar.
Von der ersten Beratung bis zum perfekten Lächeln
Erstkontakt per WhatsApp oder E-Mail. Wir besprechen Ihre Wünsche und erstellen einen Behandlungsplan.
Flug nach Hurghada. Wir holen Sie am Flughafen ab und bringen Sie zur Klinik oder Ihrem Hotel.
3D-Scan, Fertigung im eigenen Labor, und finale Versorgung – alles an einem Tag.
Kontrolle vor Rückreise, 5 Jahre Garantie, und lebenslanger Support per WhatsApp.
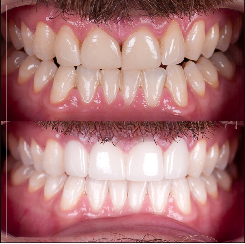
Echte Ergebnisse unserer Patienten

.png)

Jede dieser Behandlungen steht für eine individuelle Geschichte – von Unsicherheit und funktionellen Problemen hin zu einem selbstbewussten Lächeln. Hier sehen Sie echte Fälle aus unserer Praxis in Hurghada.

Möchten Sie wissen, was in Ihrem Fall möglich ist? Senden Sie uns Ihre Fotos und Ihre Wünsche per WhatsApp – wir geben Ihnen eine erste Einschätzung.
WhatsAppÜber 500 Google-Bewertungen mit 4,9 Sternen
Ich bin absolut begeistert! Die Veneers wurden am selben Tag fertiggestellt – höchste Qualität, supernettes Team. Hurghada war der perfekte Ort für Behandlung und Urlaub.
Markus S., München
Nach langem Zögern habe ich mich für die All-on-4 Lösung entschieden. Die Klinik ist top ausgestattet, Dr. Ahmed nahm sich viel Zeit. Preis-Leistung unschlagbar!
Sabine K., Zürich
Ich hatte 6 Kronen machen lassen. Alles lief reibungslos, das Labor ist direkt vor Ort. Die Kronen passen perfekt und sehen absolut natürlich aus. Klare Empfehlung!
Thomas M., Berlin
Erfahrung, Technologie und Leidenschaft für perfekte Zähne
Dr. Ahmed Zarzor ist der Gründer und behandelnde Zahnarzt von Dental Home in Hurghada. Mit über 10 Jahren Erfahrung in ästhetischer Zahnmedizin, Implantologie und digitaler Zahnmedizin hat er bereits über 7000 Patientinnen und Patienten aus Deutschland, Österreich und der Schweiz behandelt.
Seine Spezialisierung umfasst CEREC-Ein-Tages-Behandlungen für Kronen und Veneers, komplexe Vollsanierungen sowie minimalinvasive, zahnschonende Behandlungen. Dr. Ahmed kombiniert europäische Qualitätsstandards mit ägyptischer Gastfreundschaft – er nimmt sich Zeit, alle Optionen verständlich zu erklären und ein natürlich wirkendes, stabiles Ergebnis zu erzielen, mit Fokus auf Funktion UND Ästhetik.
.png)
Die Praxis liegt zentral in Hurghada, in der Nähe von wichtigen Bereichen wie Sheraton Street und Marina. Sie ist leicht mit dem Taxi erreichbar.
Hurghada ist von allen großen deutschen, österreichischen und Schweizer Flughäfen in 4–5 Stunden erreichbar. Direktflüge gibt es z.B. ab Frankfurt, München, Zürich, Wien, Berlin und Düsseldorf.
Kostenlose Abholung vom Hotel innerhalb von Hurghada und Rücktransport nach der Behandlung. Flexible Terminplanung rund um Ihren Aufenthalt – wir passen uns an Ihre Flugzeiten und Ihre Tagesplanung an. Auch bei Notfällen sind wir über WhatsApp erreichbar.
Zentrale Lage in Hurghada, gut erreichbar von vielen Hotels am Roten Meer. Viele Behandlungen (z.B. Kronen, Veneers, kleinere Sanierungen) lassen sich innerhalb weniger Tage während Ihres Aufenthalts einplanen. Viele unserer Patienten aus Deutschland, Österreich und der Schweiz verbinden die Behandlung mit 3–5 Tagen Entspannung am Roten Meer.
Dental Home – Dr. Ahmed Zarzor, Sheraton Road, Hurghada, Ägypten
Alles, was Sie wissen müssen
Starten Sie jetzt Ihre unverbindliche Beratung per WhatsApp
Jetzt WhatsApp-Beratung startenSchreiben Sie uns – wir antworten innerhalb von 24 Stunden